
Malarija je bolest koju uzrokuju vrste parazita plazmodijuma, a prenose je ženke komarci roda Anopheles. Inficirani komarac nosi u sebi parazita, vektora zaraze, koga pri ubodu osobe, ubacuje u njen krvotok.
U rodu Anopheles postoji oko 430 vrsta, dok 30-40 od njih prenosi malariju. Neke Anopheles vrste isto tako mogu da služe kao vektori za pseće srčane crve Dirofilaria immitis, nematodne vrste koje uzrokuju filarijazu, kao i viruse.
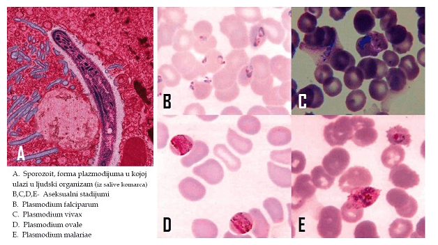
Malarija je najčešća u tropskim krajevima, posebno u subsaharskoj Africi. Uzročnik malarije je parazitska protozoa Plasmodium, kojoj je potreban domaćin da obavlja svoj veoma komplikovan životni ciklus i ćelijsku deobu. Taj ciklus se sastoji od više faza i za njegovo ispunjavnje potrebni su domaćini poput čoveka, kao i privremeni domaćini, poput komarca.
Simptomi
Obično se razvijaju u roku od 10 dana do 4 nedelje nakon infekcije. U nekim slučajevima, simptomi se ne moraju javiti mesecima. Uobičajeni simptomi su:
- Groznica
- Visoka temperatura
- Znojenje
- Bol u stomaku
- Mučnina
- Povraćanje
- Krvave stolice
- Bolovi u mišićima
- Anemija
Zaražavanje
Kada komarac ubode osobu, putem pljuvačke, u čovekov krvotok unosi sporozoit, koji još uvek nije prešao u odrasli stadijum plazmodijuma. Sporozoiti se putem krvotoka šire po organizmu i ubrzo završavaju u jetri. Ćelije jetre koriste za trasformaciju u odrasli stadijum, uzimajući hranljive materije iz jetre, a zatim zaražavaju okolne ćelije jetre. Zaražena osoba u ovom stadjumu nema nikakv simptome. Kada se prenamnože, kreću na eritrocite i njihovim napadom dovode do njihovog propadanja, što alarmira imuni sistem i javljaju se temperatura, groznica i malaksalost. Neke od jedinki prestaju da se dele i diferenciraju se u nezrele gamete, čime završavaju životni ciklus u telu zaražene osobe. Njihovo dalje širenje je moguće ukoliko zaraženu osobu ponovo ujede komarac, koji će sa krvlju pokupiti i nezrele gamete i preneti ih na sledeću osobu.

Lečenje se obavlja u bolnici. Lečenje zavisi od vrste parazita koji je u pitanju. U nekim slučajevima propisani lekovi možda neće delovati, zbog otpornosti parazita, pa će lekar promeniti terapiju ili koristiti kombinaciju lekova.
Malarija može biti opasna po život, naročito ako je parazit koji dovodi do infekcije Plamodium falciparum.
Određene vrste parazita, poput P. vivax i P. ovale imaju takve životne stadijume, da mogu nakon nekog dužeg vremena ponovo da se reaktiviraju, što će vratiti infekciju. Osoba koja je njima zaražena može dobiti lekove koji će to sprečiti.
U svetu se malarijom zarazi godišnje i do 350 miliona ljudi, a umre oko 1,3 miliona.

Srpasta anemija i malarija
Po istraživanju iz 2005. godine epidemija malarije je izazvala selektivni pririsak na humani genom. Nekoliko genetičkih faktora može dovesti do određene otpornosti na malariju.
Jedna od njih je osobina srpastih ćelija, koja dovodi do promene hemoglobina.
Kod srpastih krvnih ćelija prisutan je drugačiji tip hemoglobina (Hemoglobin S, za razliku od Hemoglobina A, kod normalnih krvnih ćelija). Hemoglobin je protein koji se nalazi u krvnim ćelijama. Zbog svoje strukture lako vezuje kiseonik i veoma je važan jer služi za transport kiseonika kroz organizam. Hemoglobin S, pri smanjenju koncentracije kiseonika, se kristalizuje u ćelijama, dovodeći do njihovog srpastog oblika i podložnosti hemolizi. Međutim, ovaj proces je reverzibilan, ali kod srpaste anemije dolazi do začaranog kruga i nastajanja još srpastih eritrocita, zbog nemogućnosti da se veže dovoljna količina kiseonika koja bi uspostavila njegov balans. Parazit, kod normalnih krvnih ćelija, koristi protein citoskeleta, aktin, da bi izgradio svoj transportni sistem i prošao do zida ćelije, a odatle i do ostalih krvnih ćelija. Međutim, kod srpastih krvnih ćelija dolazi do raspadanja njegovog transportnog sistema, a time i do nemogućnosti da se širi dalje po krvotoku.
Iako pogubna, srpasta anemija je i dalje prisutna u ljudskom genofondu. Otkriveno je da zapravo gen, koji dovodi do srpaste anemije, dovodi do otpornosti na malariju. Kao i većina gena, geni za hemoglobin se nasleđuju u dva seta, po jedan od svakog roditelja.
Malarija među ljudima
Malarija je prisutna još od pre 50 000 godina, samo je bila poznata pod drugim imenima. Hipokrat ju je zabeležio kao periodičnu groznicu. Doprinela je propadanju Rimskog carstva, jer je toliko bila raširena, da je u Rimu bila poznata kao rimska groznica. Nekoliko regiona Italije je bilo rizično, zbog prisustva stajaće vode, koju su komarci koristili za razmnožavanje. Navodnjavane bašte, močvarno zemljište i problemi sa drenažom zbog izgradnje puteva, doveli su do povećanja stajaće vode, a time i povćanja broja komaraca. Bila je poznata i kao močvarna groznica, sve dok u srednjem veku nije dobila ime malarija, od mala aria iliti loš vazduh.
Prve naučne studije o malariji zabeležene su 1880. godine kada je Čarls Laveran, francuski vojni doktor u Alžiru, prvi put primetio parazite u krvnim zrncima zaraženih pacijenata. Zabeležio je da parazit izaziva bolest i za ovo otkriće dobio Nobelovu nagradu 1907. godine. Godinu dana kasnije, kubanski lekar Karlos Finli, koji je lečio pacijente sa žutom groznicom, primetio je da su komarci prenosioci ovih bolesti, na osnovu ranijih radova Patrika Mensona, “oca tropske medicine”. Patrik Menson je proučavao transmisiju filarijaze, bolesti koju izazivaju valjkasti crvi, a prenose komarci i muve.
Britanski lekar Ronald Ros je sarđivao sa Mensonom i istraživao malariju dalje, da bi napokon opisao ceo životni ciklus parazita malarije i 1902. godine dobio Nobelovu nagradu za svoj rad. Dokazao je da vektor bolesti, parazit, komarac prenosi pljuvačkom. Ros je kasnije radio na edukaciji i preporučivanju zdravstvenih mera, koje su kasnije sprovedene u toku izgradnje Sueckog kanala i time spašeno hiljade radnika.
Prva efikasna terapija protiv malarije došla je iz kore kininovog drveta, koja sadrži kinin. Kininovo drvo raste najviše u Peruu. Domorodački narod Perua pravio je tinkture od kininovog drveta, u borbi protiv groznice. Evropljani su, po istraživanju Južne Amerike, otkrili ovu terapiju i ubrzo je uvedena njena primena u Evropi, ali je kinin izolovan i imenovan tek 1820., od strane francuskih hemičara.
Kinin je bio dominantan lek sve do 1920-ih godina, kada su počeli da se proizvode drugi lekovi, najpre hlorokin.
U kineskoj medicini se za lečenje malarije koristila biljka Artemisia annua (slatki pelin), već 2000 godina. Kineska naučnica Tu Joujou, otkrila je da je artemizin, metabolit slatkog pelina, delotvoran i preporučila ga za tretman protiv malarije. Zbog svog rada na malariji, Joujouj je dobila Nobelovu nagradu 2015. godine.


Rezistencija na lekove predstavlja budući problem u lečenju malarije. Rokom 2000-ih godina pojavila se malarija sa delimičnom otpornošću na artemizine. Delimična rezistencija se javila i na ostale klase lekova.
Kada se pravilno vrši lečenje, zaraženi malarijom mogu očekivati potpuni oporavak. Međutim, u najtežim slučajevima, čak i uz intenzivnu negu, dolazi do smrtnih ishoda.
Zaražavanje malarijom u detinjstvu može izazvati anemiju, kao i oštećenje mozga uzrokovano cerebralnom malarijom. Uzroci cerebralne malarije mogu biti smanjenje kognitivnih funkcija, poremećaja u ponašanju, kao i epilepsija.
Imunitet na malariju izazvanu Plasmodium falciparum-om se može javiti nakon ponovljene infekcije.
Kako se zaštiti?
Zaštitom od komaraca, korišćenjem mrežica, repelenata, boljim sanitarnim uslovima, kao i koršćenjem lekova pre i nakon odlaska u ugrožena područja.
Vakcina
Jedina odobrena vakcina protiv malarije bila je Mosquirix, odnosno RTS, S vakcina, koja je napravljena „kombinovanom hibridom tehnikom”. Nova vakcina, pod nazivom R21/Matriks-M (R21/Matrix-M), je i dalje u fazi ispitivanja, ali za sada pokazuje obećavajuće rezultate.
